循環器科・心臓病科について
循環器科・心臓病科について
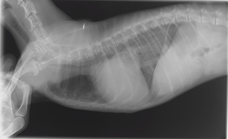
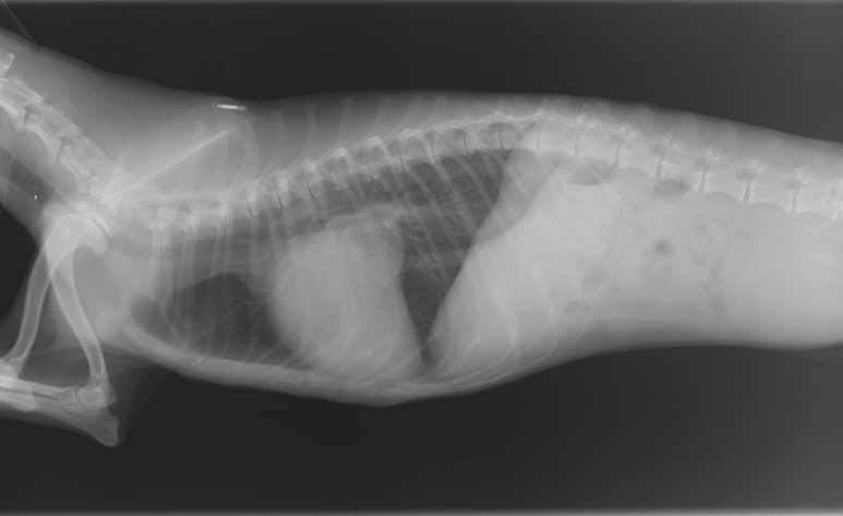
| 症状 | 咳をする(痰が絡んだような咳)、息苦しそうにする、元気が無く寝ている、心拍動が大きい |
|---|---|
| 検査 | 身体検査、聴診、レントゲン検査、超音波検査、心電図検査、血圧測定、血液検査 |
| 治療 | 薬の服用、手術、酸素吸入、温度・湿度管理 |
症状や検査結果を基に、薬の種類や量を決めていきます。また、病状の進行によって種類、量が変わるので、定期的な検査をします。
心臓病の検査で特に大きな要となるのが、超音波検査でありますが、大変高い技術が求められる検査であります。この技術により診断が左右することも大いにあります。当院では幅広い知識と高い技術で検査を行い、診断しております。この検査では、動物に横になったり、仰向けになったりしてもらいますが、その姿勢が苦手な子、またその姿勢によって息苦しくなってしまう子に対しては、立ったままの姿勢での検査を行っております。




