HOME ≫ 腎・泌尿器科 ≫
腎・泌尿器科kidney
腎不全
わんちゃん、ねこちゃんの死因で多いのが腎不全です
腎臓には血液をろ過して、体の中に溜まった老廃物や水分、取り過ぎた塩分などを尿と一緒に体の外へ出してくれる働きがあります。腎臓はいらなくなった余分なものを体から追い出して、必要なものだけをしっかり体の中に残すことで体の中の環境を正常に保っています。
しかし左右合わせて腎機能の75%以上を失っている状態を「腎不全」といいます。腎不全には、急性腎不全と慢性腎不全の2種類あります。
急性腎不全
| 原因 | 尿路結石による尿閉塞や中毒症状などで一時的に腎臓がダメージを受けることで起こります。 |
|---|---|
| 症状 | 元気食欲が無くなり、ぐったりしたり、嘔吐を繰り返すなどの症状が見られます。ひどい場合には痙攣や心停止することがあります。 |
| 治療 | 原因となった疾患を早期に治療すれば、腎機能は改善することが多いため様子がおかしい際にはすぐにご連絡ください。 |
慢性腎不全
原因
慢性腎不全は食事や他の病気といった原因で生じます。食事での過剰な塩分、リンやタンパク質を摂取し続けることで腎組織に徐々にダメージが蓄積され、その結果腎臓が壊れて壊死してしまい、腎不全に繋がります。
初期症状としては、多飲多尿(水をたくさん飲み、おしっこに行く回数が増える)といった以外には目立った症状は見られません。血液検査でBUNやCREといった腎臓の数値に異常がみられるのは腎臓機能の75%以上失った状態、つまり残りの機能が25%以下になってからです。そのため早期発見が難しい病気です。
症状が進行すると食欲の低下、体重減少、おしっこの臭いがしなくなる、老廃物が体内に残るため口臭がひどくなるといった症状が出てきます。
また、末期にはおしっこをしても水分ばかりでて、老廃物を出すことができず、尿毒症といって体内に蓄積しすぎた老廃物により吐き気、痙攣などの神経症状がみられることもあります。
慢性腎不全は血液検査と尿検査によって診断することができます。慢性腎不全は進行性の病気なので、治すことはできません。
近年では尿検査やSDMA(腎機能検査)などを組み合わせて検査することで、腎臓の初期の症状のうちに発見できることも可能になってきました。
治療
食事療法がとても重要です。早期の腎臓病の食事、進行した際の腎臓病の食事、あげてよい食事、控えたほうが良い食事などそのこにあった食事を決めていきます。
内服は腎臓の血流を改善したり、壊れていくのをゆっくりにしていく薬があります。
点滴は体にたまってしまった老廃物を押し出す効果があります。また気持ち悪さなどを軽減することができます。
腎臓病の早期発見早期治療に健診での日々の飲水量やおしっこの様子などの情報が大事です。いつでもご相談ください。
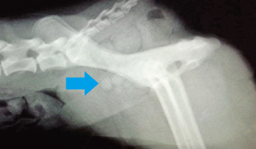
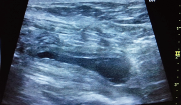
膀胱結石により血尿を呈した症例
血尿を主訴に来院したプードルです。レントゲン検査と超音波検査で膀胱結石と診断しました。
矢印で示したのが結石です。
手術では膀胱を切開し、無事結石を全て摘出しました。
術後のレントゲン検査と超音波検査で結石が取り切れているのを確認。術後経過は良好で血尿も治まり退院しました。
尿閉塞を繰り返したため会陰尿道造婁術を行った症例
昨日からおしっこがでないのを主訴に来院した雄猫です。
結石が尿道に詰まり排尿できなくなっていたため会陰尿道造婁術(新しく尿道を作る手術)を行いました。
泌尿器
泌尿器科について
泌尿器とは、血液中の老廃物をろ過し、尿を作り排泄する器官です。腎臓(尿を作る)、尿管(腎臓から膀胱に尿を送る)、膀胱(尿を貯める)、尿道(尿を体外に出す)が含まれます。中でも腎臓は重要な働きをしており、生命の維持に欠かせない臓器です。泌尿器のトラブルのサインは、頻尿(おしっこの回数・量が多い)、何度もトイレに行くがおしっこがでない、血尿といったものから、ぐったりしている、毛づやが悪い、食欲がない、嘔吐など様々です。中には緊急を要するものもあるため気になる点があればお早めにご相談ください。
検査
| 尿検査 | 腎臓の機能が低下すると尿が薄くなります、尿検査では尿が薄くないかを確認します。また、尿のPH(酸性やアルカリ性)、尿中の様々な成分(結石、菌、炎症細胞、腫瘍細胞、尿糖など)を検出し、尿路系に異常がないかを確認します。 |
|---|---|
| 血液検査 | 尿素窒素(BUN)、クレアチニン(Cre)など腎臓の機能の数値や塩分やミネラルなどを調べ、脱水の有無など全身状態を確認します。 |
| 超音波検査 | 腎臓や膀胱の内部の観察することで、結石や腫瘍などを確認します。 |
| レントゲン検査 | 腎臓、尿管、膀胱、尿道など細かい病変を確認します。 |
主な病気
膀胱炎を起こした膀胱
細菌の感染や結石などにより膀胱に炎症がおきる病気です。頻尿、血尿、尿が臭う、尿が濁っている、トイレを失敗する等の症状がみられます。尿検査や超音波検査で原因を調べ、治療を行います。猫ちゃんは感染がなくてもストレスが原因で繰り返し膀胱炎をおこすことがあり、特発性膀胱炎と呼ばれます。トイレの環境を確認したり、食事療法を行い再発を防ぎます。
膀胱結石の摘出
腎臓、尿管、膀胱、尿道に結石ができる病気です。尿路結石は構成される成分によってストラバイト結石(リン酸アンモニウムマグネシウム結石)、シュウ酸カルシウム結石、尿酸結石、シスチン結石などに分けられます。結石があると膀胱を傷つけて膀胱炎を繰り返し引き起こします。
オスでは尿道がメスより狭く、結石がつまり尿が出なくなると、急性腎障害になり命の危険を引き起こすことがあります。尿が出ない、尿をするときに鳴くなどの症状が見られる時は注意が必要です。
慢性腎臓病で萎縮した腎臓
腎臓病は結石や中毒などにより急性に発症するものと、年齢とともに少しずつ進行する慢性のものがあります。慢性腎臓病では、腎臓に障害を与えるさまざまな病気などが少しずつ腎臓の組織を壊すので、老齢のわんちゃんや猫ちゃんほど腎臓病になる割合が大きくなります。
慢性腎臓病の治療は残っている腎臓の機能を悪化させないようにする保存療法が主体となり、腎臓に負担がかからないように食事管理(低塩分、低リン、食物繊維による窒素源の吸収抑制、良質な蛋白質、抗酸化ビタミンの添加など)と積極的な水分補給や点滴を行うことが大切です。保存療法は早い段階で始めると良いことがわかっており、早期に腎臓病を検出することが重要になります。中~高齢期のわんちゃん、猫ちゃんは定期的に腎臓の検査を受けられることをお勧めします。







